¿Tienes dificultad para cerrar completamente los dientes al morder? La mordida abierta es un problema frecuente que afecta tanto a la estética como la funcionalidad de la sonrisa.
En González y Casado, somos especialistas en Ortodoncia infantil y del adultos y por ello, en tratar este tipo de maloclusión dental con las técnicas más avanzadas y personalizadas para cada paciente.
En este artículo, te explicamos en qué consiste la mordida abierta y cómo podemos corregirla con los tratamientos que ofrecemos en nuestra clínica dental en Madrid.
¿Qué es la mordida abierta?
La mordida abierta es una maloclusión en la que los dientes superiores e inferiores no logran contactar al cerrar la boca, dejando un espacio visible entre ellos.
Este problema afecta tanto a la función masticatoria como la estética facial.
En González y Casado, tu clínica especializada en ortodoncia en Madrid capital, sabemos que cada caso es único y tratamos las mordidas abiertas con un enfoque integral y personalizado, siempre priorizando soluciones mínimamente invasivas y eficaces.

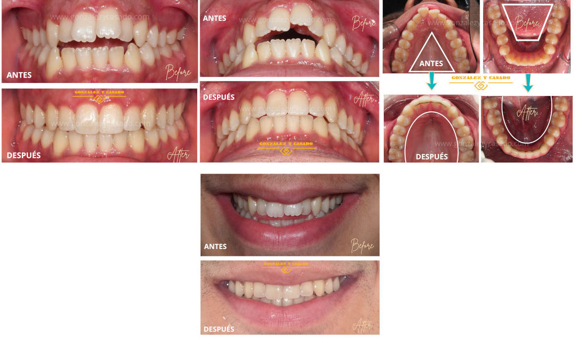
Mordida abierta anterior
¿Cómo tratamos la mordida abierta en González y Casado?
En nuestra clínica, utilizamos los tratamientos más avanzados para corregir la mordida abierta, centrándonos en las necesidades específicas de cada paciente.
A continuación, te presentamos las opciones disponibles:
Ortodoncia: la solución más efectiva
La ortodoncia es el tratamiento esencial para corregir esta maloclusión a, ya que permite colocar los dientes y cerrar el espacio entre ellos. En nuestra clínica, te ofrecemos:
- Ortodoncia invisible: una opción cómoda y estética para pacientes que buscan corregir su mordida sin que se note. Los alineadores transparentes se diseñan a medida y se cambian cada pocas semanas para guiar gradualmente los dientes hacia su posición correcta. Actualmente, es la opción más eficaz para el cierre de las mordidas abiertas.
- Brackets tradicionales o de cerámica: son una opción tradicional; los brackets ejercen presión constante para mover los dientes y corregir la mordida abierta de manera efectiva.
- Expansores palatinos (en niños): en casos de mordida abierta causada por un paladar estrecho, utilizamos expansores que estimulan el crecimiento óseo y corrigen la estructura maxilar en edades tempranas.
Dispositivos interceptivos para niños
En González y Casado, creemos en la importancia de detectar y tratar la mordida abierta en la infancia para evitar problemas mayores en la adolescencia y la edad adulta. Para ello, utilizamos:
- Rejillas linguales: Evitan que la lengua ejerza presión en los dientes y ayudan a corregir la deglución atípica.
- Ortopedia funcional: Dispositivos diseñados para guiar el crecimiento óseo y corregir la mordida abierta antes de que los dientes definitivos estén completamente erupcionados.
Logopedia
En numerosas ocasiones la mordida abierta está ocasionada por la posición inadecuada de la lengua entre los dientes superiores e inferiores o la colocación de la lengua entre ellos al tragar (deglución atípica o deglución infantil mantenida).
Resulta fundamental en muchos casos combinar el tratamiento de ortodoncia con ejercicios para la lengua e incluso logopedia.
¿Qué pasa si la mordida abierta es muy severa?
En los casos más graves, donde la mordida abierta tiene un origen estructural significativo o no puede corregirse únicamente con ortodoncia, ofrecemos los servicios de Cirugía ortognática. En colaboración con especialistas, realizamos procedimientos quirúrgicos para reposicionar el maxilar y la mandíbula, restaurando la función y la estética facial.

mordida abierta por erosión de incisivos en bulimia
¿Cuándo se debe tratar la mordida abierta?
Es fundamental tratar la mordida abierta lo antes posible para evitar problemas como:
- Dificultad para masticar o hablar.
- Desgaste prematuro de los dientes posteriores.
- Estrés en la articulación temporomandibular (ATM).
- Impacto negativo en la estética facial.
En González y Casado, realizamos un diagnóstico completo con tecnología digital avanzada y profesionales con dilatada experiencia en ortodoncia para recomendarte el mejor tratamiento para tu caso.

mordida abierta interior
Por qué elegirnos para tratar la mordida abierta
En González y Casado, llevamos más de 20 años ayudando a miles de pacientes a recuperar la funcionalidad y estética de su sonrisa. Al elegirnos, tendrás a tu disposición:
- Especialistas en ortodoncia y ortopedia infantil expertos: doctores especialistas en Ortodoncai con amplia experiencia en tratar desde casos leves hasta los más complejos.
- Tecnología avanzada de diagnóstico y tratamiento: diagnóstico digital 3D para máxima precisión y sistemas de planificación digital.
- Atención personalizada: diseñamos un plan de tratamiento adaptado a tus necesidades y objetivos.
Si crees tus dientes frontales superiores no cubren un tercio de tus dientes frontales inferiores, sí, tienes mordida abierta anterior. Así que nuestra recomendación es que no esperes más y te pongas en manos de los mejores especialistas en mordida abierta en Madrid. En González y Casado, tu clínica dental de confianza en Madrid, contamos con un equipo de ortodoncistas especializados para ofrecerte soluciones efectivas y personalizadas.
Agenda tu consulta sin compromiso y da el primer paso hacia la sonrisa perfecta, que te permita masticar y sonreír con confianza. Estás a una llamada de ver lo sencillo que resulta hoy en día mejorar la posición de tus dientes con maloclusiones.
Te recordamos también que puedes seguirnos en las redes sociales para mantenerte informad@ y actualizad@ sobre nuestros tratamientos y recomendaciones de Salud Bucodental
¡Recupera tu confianza y sonríe con nosotros!






