¿Dientes más blancos con productos caseros o con blanqueamiento profesional? Descubre qué opción es más eficaz, segura y duradera en González y Casado.
Una sonrisa blanca transmite juventud, limpieza, bienestar y seguridad. Por esta razón, no es extraño que el blanqueamiento dental se haya convertido en uno de los tratamientos estéticos más demandados en nuestra consulta dental.
Si estás pensando en mejorar el color de tus dientes, seguramente te preguntas si merece la pena hacer un blanqueamiento dental profesional o bastan los productos caseros.
En este artículo te explicamos de forma clara y sin rodeos las diferencias reales entre ambas opciones, qué resultados puedes esperar de cada una y por qué en González y Casado te ofrecemos el sistema número 1 del mundo para lograr una sonrisa blanca y saludable cuidando tus dientes.
Qué es un blanqueamiento dental profesional
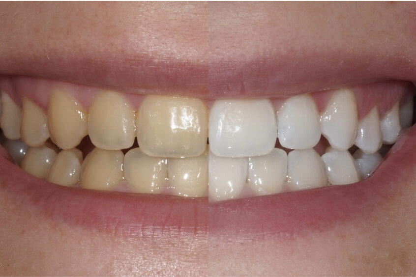
El blanqueamiento dental profesional es un procedimiento estético mínimamente invasivo que aclara el color de los dientes respetando su estructura. Es completamente seguro, rápido y con resultados visibles desde la primera aplicación.
En González y Casado, somos especialistas en estética dental en Madrid y trabajamos con el tratamiento clínico más avanzado del mundo. Gracias a su luz fría azul de última tecnología y un gel blanqueante con flúor, fosfato cálcico y nitrato potásico, conseguimos aclarar entre 6 y 10 tonos sin dañar el esmalte ni provocar sensibilidad significativa.

Tipos de blanqueamiento profesional que ofrecemos en nuestra clínica
En nuestra clínica ofrecemos los siguientes tipos de blanqueamiento profesional:
Blanqueamiento combinado
- La opción más eficaz. Combina férulas personalizadas para casa con sesión en clínica.
- Aclara de 8 a 10 tonos. Proporcional resultados duraderos y clínicamente contrastados.
- Está indicado para todos los pacientes que deseen conseguir una mejora del color significativa cuidando los tejidos dentales.
Blanqueamiento Express en clínica
- Se realiza en una única sesión con lámpara LED.
- Aclara hasta 6 tonos en tan solo 1 hora.
- Está el ideal si tienes un evento cercano y poco tiempo para conseguir unos dientes blancos.

Blanqueamiento ambulatorio progresivo
- Se hace en casa durante 15 noches con férulas hechas a medida.
- Aclara entre 2 y 4 tonos de forma progresiva.
- Es el indicado cuando el paciente tiene ya carillas de composite, porcelana o coronas y no queremos bajas muchos tonos el color del diente.
Blanqueamiento combinado de larga duración para pigmentos difíciles
Pensado para tinciones severas (como por tetraciclinas).
Se realiza combinando la luz en clínica con el tratamiento en casa mediante férulas durante más semanas o meses según el caso.

¿Qué son los productos caseros para blanquear los dientes?
Los productos caseros para blanqueamiento dental son soluciones de libre venta que se utilizan sin supervisión profesional y que prometen aclarar el color de los dientes desde casa. Son muy accesibles y están presentes en farmacias, supermercados o plataformas online, lo que ha contribuido a su popularidad.
Entre los más conocidos se encuentran:
- Pastas dentífricas blanqueadoras: contienen agentes químicos suaves que eliminan manchas externas, pero no modifican el color interno del diente.
- Tiras adhesivas blanqueadoras: recubiertas con peróxidos de baja concentración, se colocan sobre los dientes durante unos minutos al día. El resultado suele ser desigual, especialmente si la alineación dental no es perfecta.
- Kits con gel blanqueador y férulas universales: imitan el tratamiento profesional pero sin control clínico. Las férulas genéricas no se adaptan a la forma de tu dentadura, lo que puede provocar fugas del producto, irritación de encías o resultados irregulares.
- Remedios naturales: bicarbonato, carbón activado, limón o fresa. Aunque se viralizan en redes como “soluciones naturales”, no tienen base científica, pueden ser abrasivos y deteriorar el esmalte con el uso repetido, causando sensibilidad dental irreversible.
Todos estos métodos pueden parecer económicos o convenientes, pero su efectividad es limitada y, sin un diagnóstico previo, pueden agravar problemas como sensibilidad dental, retracción de encías o desgastes.
Desde nuestra clínica en Madrid especializada en blanqueamiento dental profesional, queremos informarte de que si bien algunos pueden ofrecer una mejora estética puntual, ninguno sustituye la eficacia, seguridad y durabilidad del tratamiento profesional realizado en una clínica especializada como la nuestra.
Comparativa real: blanqueamiento dental profesional vs productos caseros
Resultados
- Profesional: visibles desde la primera sesión, hasta 10 tonos más claros.
- Casero: leves o imperceptibles. Algunas pastas solo eliminan manchas superficiales.
Duración
- Profesional: entre 1 y 2 años con buenos hábitos.
- Casero: efectos temporales, si los hay.
Seguridad
- Profesional: sin riesgo de dañar el esmalte. Supervisado por un odontólogo. Protege las encías (tejidos blandos) y cuida y remineraliza el esmalte dental.
- Casero: posible sensibilidad, erosión del esmalte o irritación de los tejidos blandos.
Comodidad
- Profesional: tratamiento rápido en clínica y/o férulas personalizadas.
- Casero: férulas genéricas, aplicación poco precisa, resultados irregulares.
Personalización
- Profesional: diagnóstico previo, adaptado a cada caso, con control absoluto por especialistas y seguimiento clínico.
- Casero: uso generalizado sin control profesional.

Riesgos del blanqueamiento casero sin supervisión profesional
- Desgaste del esmalte (por sustancias abrasivas como carbón o bicarbonato).
- Sensibilidad dental y molestias prolongadas.
- Irritación de encías o labios.
- Resultado desigual si hay empastes, carillas o tinciones internas.
- Falsas expectativas: muchos productos no blanquean realmente, solo limpian manchas.
Preguntas frecuentes sobre blanqueamiento dental
¿El blanqueamiento profesional daña los dientes?
No. En manos expertas y con materiales de alta calidad, el tratamiento es seguro, conservador y remineraliza el esmalte.
¿Qué blanqueamiento es el más rápido?
El blanqueamiento más rápido para el paciente es el que realizamos en clínica con la lámpara de LED, y ofrece resultados visibles de 6 tonos en una sola sesión de una hora.
¿Qué blanqueamiento dental es el más eficaz?
El blanqueamiento dental más eficaz es el blanqueamiento combinado, que usa férulas personalizadas en casa combinado con el blanqueamiento en clínica con lámpara LED. Consigue bajar 6-10 tonos el color de tus dientes y sus resultados son los más duraderos.
¿Puedo hacer un blanqueamiento con carillas o empastes en los dientes frontales?
El gel solo actúa sobre dientes naturales. Por eso, antes de comenzar, evaluamos el tipo de blanquemiento para que tus dientes naturales queden del mismo color que los empastes anteriores o las carillas. En los casos en los que todos los dientes y empastes o carillas tienen el mismo tono, al bajar el color de tus dientes naturales, tendrás que cambiar las carillas o los empastes antiguos para igualarlos con el nuevo color más blanco.
¿Puedo hacerme el tratamiento si tengo sensibilidad?
Sí. Usamos productos con flúor y nitrato potásico para reducir la sensibilidad, y adaptamos el protocolo a tu nivel de tolerancia. Podemos usar productos menos concentrados y tiempos de trabajo con la lámpara en más sesiones para proteger tus dientes y conseguir los resultados deseados.
¿Qué blanqueamiento es mejor para tinciones severas (como tetraciclinas)?
El tratamiento con combinado con férulas de larga duración suele ser la opción indicada. Aclara incluso tonos grisáceos con mal pronóstico estético.
Una sonrisa blanca comienza con una elección segura y eficaz
El blanqueamiento dental profesional no solo te ofrece resultados superiores: es la opción más segura, precisa y respetuosa con tus dientes.
En González y Casado, llevamos más de 20 años realizando blanqueamientos dentales con resultados excelentes. Diagnosticamos a cada paciente mediante un estudio personalizado y te ofrecemos el tratamiento que mejor se adapte a tu caso, con la garantía del sistema clínico nº1 en el mundo.
📞 ¿Quieres blanquear tu sonrisa sin riesgos ni falsas promesas? Pide tu cita en nuestra clínica en Madrid y luce una sonrisa más blanca y bonita en solo una visita.
También puedes seguirnos en nuestras redes sociales.





