Blanqueamiento dental para fumadores: ¿Cómo lograr un blanco real?
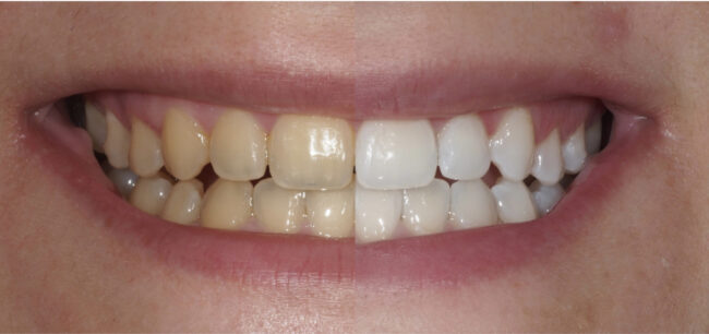
¿Dientes amarillos por el tabaco? Descubre cómo funciona el blanqueamiento dental para fumadores, qué resultados reales esperar y el mejor método para eliminar el efecto de la nicotina y blanquear los dientes. En nuestra clínica dental en Madrid, somos líderes en blanqueamiento dental y tratamientos de alta estética. Y una de las dudas más recurrentes…










