¿Notas que aprietas los dientes sin darte cuenta durante el día? ¿Te despiertas con la mandíbula cargada o has observado que tus encías sangran más en épocas de mucha carga de trabajo? No es una coincidencia. La conexión entre la mente y el cuerpo es absoluta, y la boca es una de las zonas donde el impacto de la tensión acumulada se manifiesta con mayor rapidez y agresividad. Por eso en este artículo queremos ayudarte a entender cómo afecta el estrés a la salud dental, ya que estas respuestas físicas reales que estás sufriendo pueden comprometer la integridad de tus dientes y encías a largo plazo si no les pones tratamiento.
¿Por qué el estrés se refleja en nuestra salud dental?
El estrés activa una respuesta de «alerta» en el organismo que libera hormonas como el cortisol. Esto provoca cambios químicos y físicos:
- Tensión muscular involuntaria: Los músculos de la cara y el cuello se contraen.
- Bajada de defensas: El sistema inmunológico se debilita, facilitando la acción de las bacterias bucales.
- Alteración de la saliva y sequedad bucal: La química y la cantidad de saliva cambian, perdiendo su función protectora.
- Descuidos en el autocuidado: En periodos de ansiedad, es común relajar los hábitos de higiene o cambiar la dieta.
¿Cómo afecta el estrés a la salud dental?
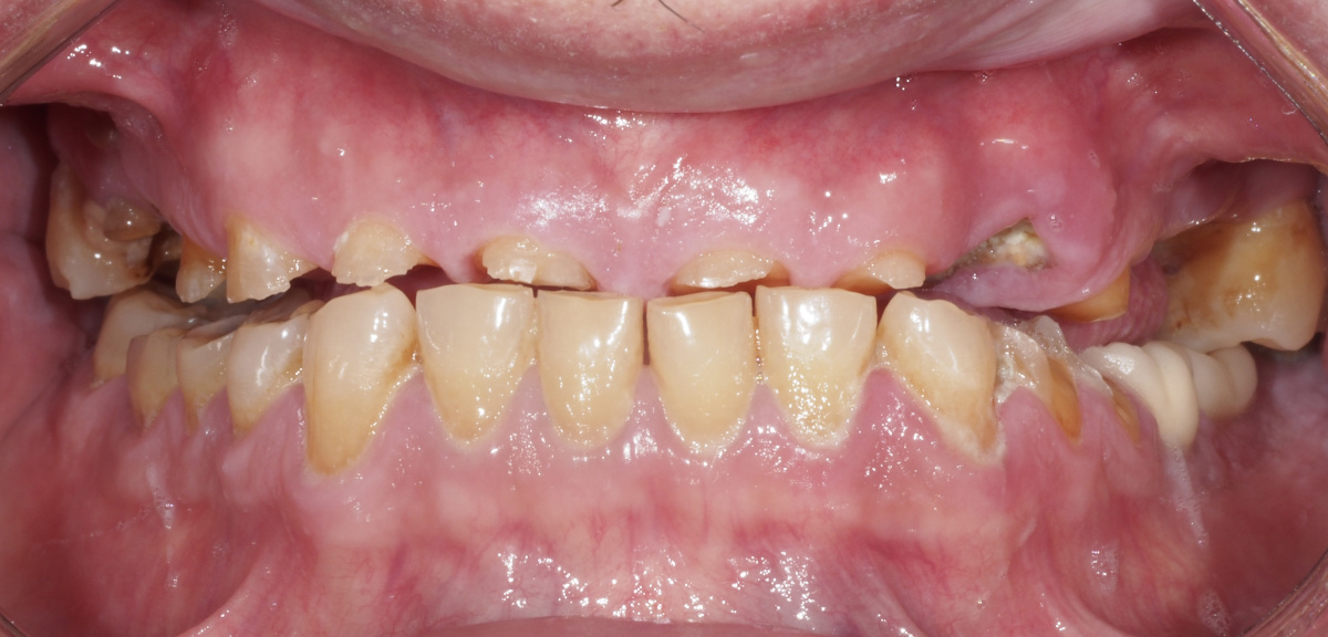
El bruxismo: el «enemigo silencioso» del descanso
El efecto más directo y destructivo del estrés es el bruxismo, que consiste en apretar o rechinar los dientes de forma involuntaria, generalmente durante el sueño.
Muchos pacientes no saben que son «bruxistas» hasta que realizamos una exploración dental completa y vemos los signos del apretamiento dental. En González y Casado, tu clínica dental en Madrid, detectamos los daños o signos y síntomas del bruxismo para ayudarte a conocerlos y solucionarlos. Las consecuencias de no tratar el bruxismo a tiempo incluyen:
- Desgaste del esmalte: Los dientes se vuelven más cortos y pierden su forma natural.
- Microfracturas: Aparición de fisuras que pueden terminar en fracturas completas de la pieza.
- Sensibilidad dental: Al perderse el esmalte, la dentina queda expuesta al frío y al calor.
- Cefaleas y dolores cervicales: Dolores de cabeza recurrentes al despertar, originados por la fatiga de los músculos masticatorios.

El impacto del estrés en las encías y el sistema inmune
El estrés crónico es un factor de riesgo directo para la enfermedad periodontal. Al estar el sistema inmunitario «distraído» por el estado de ansiedad, las bacterias que habitan en la placa encuentran el camino libre para atacar los tejidos que sujetan el diente.
- Gingivitis por estrés: Inflamación y sangrado que no siempre responden a una falta de limpieza, sino a una respuesta inflamatoria exagerada del cuerpo.
- Riesgo de periodontitis: En pacientes con predisposición, el estrés puede acelerar la pérdida de hueso de soporte, poniendo en riesgo la estabilidad de los dientes.
- Aftas y llagas: Las úlceras bucales suelen aparecer tras picos de estrés como respuesta a la bajada de defensas.
Sequedad bucal y desequilibrio del pH
La sensación de «boca seca» o xerostomía es muy común en situaciones de ansiedad. La saliva es el sistema de limpieza natural de la boca: neutraliza los ácidos y remineraliza el esmalte.
Cuando el flujo salival disminuye por el estrés, el pH de la boca se vuelve ácido, creando el entorno perfecto para que las caries progresen mucho más rápido de lo habitual.
Dolor en la articulación temporomandibular (ATM)
La tensión acumulada en la zona mandibular puede derivar en trastornos de la articulación que une la mandíbula con el cráneo) articulación temporomandibular -ATM-). Si notas chasquidos o crujidos al abrir la boca, dificultad para masticar alimentos duros o sensación de que la mandíbula se «bloquea», es probable que tu sistema articular esté sufriendo las consecuencias del estrés prolongado.
¿Cómo protegemos tu sonrisa en González y Casado?
En nuestra clínica dental en el centro de Madrid, tratamos tanto los síntomas del estrés como el averiguar su posible causa. Para mitigar los efectos del estrés, seguimos un protocolo de odontología integral:
- Exploración de la musculatura y ATM: Evaluamos el grado de tensión de tus músculos faciales.
- Diseño de dispositivos de descarga: Confeccionamos férulas de descarga en Madrid a medida, gracias a un escaneado digital tridimensional de última tecnología de tus dientes. Estas férulas de relajación, están diseñados para reprogramar la musculatura y evitar que los dientes choquen entre sí durante la noche.
- Tratamientos mínimamente invasivos: Si ya existe desgaste, utilizamos técnicas de adhesión para devolver la forma original al diente sin necesidad de tallarlo.
- Control periodontal estricto: Reforzamos la limpieza profesional en épocas de mayor vulnerabilidad para proteger tus encías y pautamos citas de control y mantenimiento para garantizar la salud de tus dientes y encías.

Consejos prácticos para minimizar el impacto del estrés en tu boca
Aunque no siempre podemos eliminar la fuente de estrés, sí podemos cambiar cómo reacciona nuestra boca:
- Higiene consciente: No permitas que el cansancio te haga saltarte el cepillado nocturno; es el más importante para prevenir la acción de los ácidos.
- Masaje mandibular: Antes de dormir, aplica calor suave o realiza pequeños masajes circulares en la zona de las sienes y la mandíbula para relajar los músculos.
- Evita hábitos nocivos: Morder bolígrafos, morderse las uñas o masticar chicle en exceso solo aumenta la fatiga muscular.
- Revisiones preventivas: Detectar un desgaste inicial es mucho más sencillo de solucionar que una fractura dental.
Preguntas frecuentes sobre estrés y salud bucodental
¿Cómo sé si aprieto los dientes por la noche si duermo solo?
Las señales más claras son: cansancio al despertar en la zona de las mejillas, dientes que parecen más planos en los bordes, o marcas de los dientes en los laterales de la lengua al levantarte, dolores de cabeza y cuello frecuentes.
¿Una férula de descarga quita el estrés?
No elimina el estrés psicológico, pero sí «engaña» al sistema neuromuscular, absorbiendo la fuerza del apretamiento y protegiendo tus dientes, articulaciones y músculos de daños físicos permanentes.
¿El estrés puede hacer que se me caiga un diente?
No de forma directa, pero si ya padeces una enfermedad de las encías, el estrés puede acelerar drásticamente la pérdida de hueso, lo que finalmente provocaría movilidad y pérdida de la pieza.
¿Por qué me sangran las encías si me lavo bien los dientes en épocas de exámenes o trabajo intenso?
Porque el cortisol (la hormona del estrés) aumenta la inflamación sistémica. Tus encías reaccionan de forma más agresiva ante la mínima presencia de placa.
¿Es normal tener más caries cuando estoy estresado?
Sí, debido a la reducción de saliva y a que tendemos a consumir alimentos más azucarados o procesados para buscar una gratificación inmediata frente a la ansiedad.
Recupera el equilibrio de tu sonrisa
Tu salud bucodental es el espejo de tu bienestar general. Entender cómo afecta el estrés a la salud dental es el primer paso para tomar el control y evitar que una etapa de tensión se convierta en un problema dental crónico.
En González y Casado, tu clínica dental en Madrid, realizamos tratamientos personalizados e integrales para mejorar la salud y la estética de nuestros pacientes. Nos tomamos el tiempo necesario para escucharte, entender tu situación y ofrecerte soluciones que te devuelvan la comodidad y la tranquilidad. Contamos con más de 20 años de experiencia en oclusión y sobrecarga funcional debida al estrés.
¿Sientes tensión en tu mandíbula o notas tus dientes más sensibles o cortos de lo habitual? Te invito a que nos visites en nuestra clínica dental en el centro de Madrid para realizar una valoración completa de tu mordida y tu salud gingival. Juntos, encontraremos la mejor estrategia para proteger tu sonrisa.
Y si quieres más consejos para tener una salud bucal óptima, síguenos en nuestras redes sociales:





