Chuparse el dedo o utilizar chupete es una conducta habitual en los primeros años de vida, sin embargo, cuando se mantienen más allá de los 2-3 años, pueden tener consecuencias negativas en el desarrollo bucodental del niño.
En González y Casado, clínica especializada en odontopediatría y ortodoncia infantil en Madrid, te explicamos por qué es importante vigilar estos hábitos, cuándo intervenir y cómo prevenir problemas futuros.
¿Por qué se chupan el dedo o usan chupete los niños?
Usar chupete o chuparse el dedo forma parte del reflejo natural de succión con el que nacen los bebés, necesario para alimentarse. Pero más allá de lo fisiológico, también cumplen una función emocional: proporcionan calma, seguridad y consuelo.
El problema aparece cuando se prolongan más allá del momento en que dejan de ser necesarios, interfiriendo en el desarrollo normal de la boca, de la mordida y de los huesos del tercio inferior de la cara.
Consecuencias de chuparse el dedo o usar chupete durante demasiado tiempo
Alteraciones en la mordida
Es la consecuencia más común. Estos hábitos pueden generar una mordida abierta anterior, donde los dientes superiores e inferiores no llegan a tocarse al cerrar la boca.
También puede producirse una mordida cruzada posterior (donde los dientes superiores quedan atrapados por dentro de los inferiores) o un apiñamiento dental por presión constante.
Problemas de desarrollo de los huesos: del maxilar y la mandíbula
La succión prolongada afecta al crecimiento de los huesos de la cara, provocando desviaciones en la forma del paladar (paladar ojival), estrechamiento del arco dental (compresión maxilar) o problemas de oclusión.
Dificultades en el habla
El uso prolongado del chupete o el hábito de chuparse el dedo puede interferir en la posición de la lengua, lo que conlleva problemas de pronunciación, como la dislalia (dificultad para articular ciertos sonidos).
Respiración oral
Algunos niños desarrollan respiración bucal, lo que puede derivar en problemas respiratorios, infecciones frecuentes o ronquidos nocturnos.
Problemas de autoestima
En edades más avanzadas, los cambios en la posición dental o en la forma de la sonrisa pueden generar complejos o inseguridad en el niño.

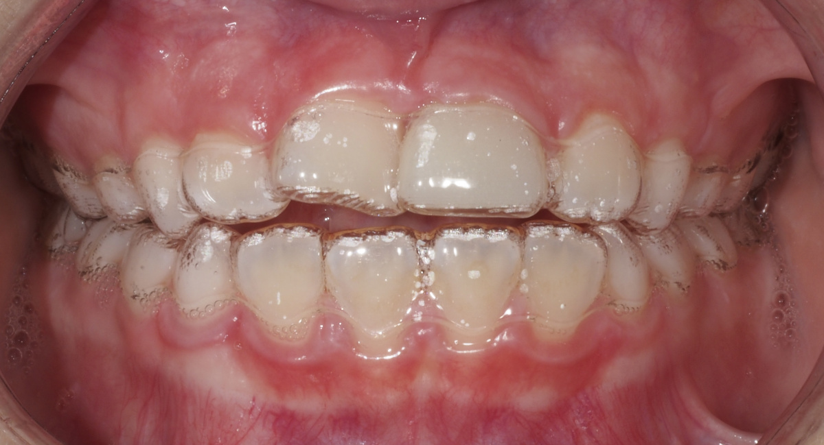
Alineadores transparentes para corregir mordida abierta a consecuencia de chuparse el dedo
¿Hasta qué edad es seguro el uso del chupete?
Los expertos recomiendan retirar el chupete entre los 12 y 24 meses. Aunque no todos los niños desarrollan problemas, a partir de los 2-3 años aumentan las probabilidades de alteraciones bucodentales.
En cuanto a chuparse el dedo, suele ser más difícil de controlar que el chupete, ya que está siempre disponible. Lo ideal es que el hábito desaparezca antes de los 3 años. Si persiste a partir de los 4-5 años, conviene consultar al odontopediatra.
¿Qué hacer si mi hijo no deja el chupete o se chupa el dedo?
Aquí tienes algunos consejos para manejar la situación:
- Refuerzo positivo: Celebra los días que pasa sin chuparse el dedo o sin usar chupete.
- Sustitución progresiva: Ofrece peluches, mantitas u otros objetos de apego que no afecten a su salud bucal.
- Evita regañar: Es mejor acompañar y guiar con paciencia que generar tensión.
- Consulta profesional: En González y Casado, nuestros especialistas en ortopedia y ortodoncia interceptiva evaluan la situación individual de cada niño y, si es necesario, proponemos técnicas o tratamientos personalizados para eliminar el hábito sin traumas.
Tratamiento de las consecuencias de chuparse el dedo o usar chupete durante demasiado tiempo
Si el hábito se ha mantenido en el tiempo y ya hay alteraciones visibles en la mordida o en la posición de los dientes, puede ser necesario:
- Ortodoncia interceptiva: Para corregir a tiempo problemas óseos o de desarrollo.
- Reeducación miofuncional: Para mejorar la postura de lengua y labios.
- Control del crecimiento facial: A través de tratamientos funcionales en edades tempranas.
La buena noticia es que, detectado a tiempo, la mayoría de los problemas tienen solución sencilla y efectiva.
En González y Casado te ayudamos a proteger la sonrisa de tus hijos
Nuestra clínica dental en Madrid cuenta con un equipo especializado en ortodoncia infantil e interceptiva. Si te preocupa el uso prolongado del chupete o notas que tu hijo se chupa el dedo de forma habitual, no esperes a que aparezcan los problemas: una evaluación temprana puede evitar tratamientos más complejos en el futuro. En nuestra clínica encontrarás:
- Primera visita sin compromiso.
- Trato cercano y adaptado a las necesidades de cada etapa del desarrollo.
- Clínica en el centro de Madrid con amplio horario de atención de lunes a viernes.
Pide tu cita con nuestro equipo de especialistas infantiles y acompaña a tu hijo en el cuidado de su sonrisa desde los primeros años.
Te recordamos también que puedes seguirnos en las redes sociales para mantenerte informad@ y actualizad@ sobre nuestros tratamientos y recomendaciones de Salud Bucodental





