¿Notas que tus dientes superiores cubren demasiado a los inferiores al cerrar la boca? ¿O que los bordes de los dientes inferiores están astillados o rotos? Es posible que tengas sobremordida, una de las maloclusiones más comunes, pero también una de las que pasan más desapercibidas para los pacientes.
Aunque a simple vista puede parecer solo un problema estético, no lo es. La sobremordida tiene consecuencias funcionales e irreversibles importantes si no se trata a tiempo. En este artículo te explicamos qué es, por qué ocurre y qué soluciones existen para corregirla de forma eficaz y discreta.
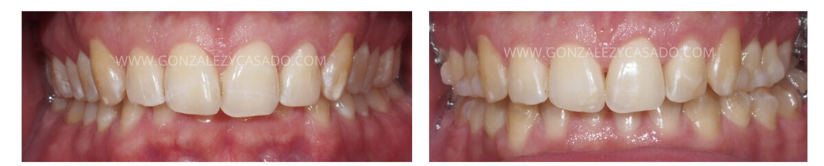
¿Qué es la sobremordida?
La sobremordida (también conocida como «mordida profunda») ocurre cuando los dientes frontales superiores cubren en más de un tercio a los dientes inferiores al cerrar la boca. En una mordida normal, los dientes superiores deben solapar ligeramente a los inferiores (un tercio). Nosotros lo explicamos como una caja y su tapa: los dientes superiores son la tapa y deben cubrir sólo la parte alta de la caja (dientes inferiores).
En los casos más severos, los incisivos superiores pueden llegar a ocultar completamente los inferiores o incluso tener contacto los inferiores con el paladar, provocando desgaste dental, molestias y problemas funcionales.

Tipos de sobremordida
Existen tres tipos principales de sobremordida:
Sobremordida leve
Es la menos severa y los dientes superiores cubren ligeramente más a los inferiores de lo ideal.
Si no se trata suele empeorar con el tiempo por la presión de los músculos de los labios, las reabsorciones de los huesos con la edad y los hábitos.
Sobremordida aumentada o moderada
Cuando los dientes superiores solapan a los inferiores en mayor medida sin llegar a cubrirlos totalmente.
Puede causar alteraciones en los bordes de los dientes inferiores y una afectación estética y funcional. También heridas de repetición en los labios y las encías por mordisqueo involuntario. Sin tratamiento y con el paso del tiempo, podría evolucionar a sobremordida profunda.

Sobremordida severa o profunda (también llamada mordida cubierta)
Es el caso más grave de solapamiento de los dientes frontales: en ella los dientes superiores cubren por completo a los dientes inferiores (no se ven los dientes inferiores al morder o sonreír). Es la peor de todas y requiere tratamientos de ortodoncia de más meses de duración.
Es la que causa más patologías y debe corregirse siempre para evitar lesiones irreversibles en la edad adulta.
¿Cuáles son las causas de la sobremordida?
La sobremordida puede estar provocada por diversos factores, entre ellos:
- Genética: una de las causas más comunes, heredada de padres a hijos.
- Hábitos en la infancia: uso prolongado del chupete, succión del pulgar o respiración oral.
- Pérdida prematura de dientes temporales o definitivos.
- Apiñamiento dental o falta de espacio en la arcada.
- Desarrollo óseo anómalo del maxilar o la mandíbula.
¿Qué consecuencias tiene no tratar la sobremordida?
Aunque muchas personas conviven con la sobremordida sin percatarse de que tienen un problema de engranaje entre sus dientes, con el paso del tiempo esta maloclusión causa problemas importantes tales como:
- Desgaste dental excesivo y rotura de los bordes en los dientes frontales inferiores (incisivos).
- Dolor mandibular o articular (ATM) por una mordida descompensada y bloqueada (los dientes inferiores se encuentran como “encarcelados” por los dientes superiores impidiendo su correcta movilidad).
- Heridas en las encías inferiores al impactar el alimento entre los dientes superiores anteriores contra ellas.
- Heridas en el paladar, al apoyarse en ellas los incisivos inferiores.
- Dificultad para masticar correctamente o morder ciertos alimentos.
- Problemas estéticos que afectan a la autoestima.
- Mayor riesgo de fractura dental de los dientes frontales en caso de golpes.
- Alteraciones en el habla en algunos casos.

¿Cómo se trata la sobremordida?
El tratamiento depende del tipo y grado de sobremordida, la edad del paciente y si el origen es dental, esquelético o mixto.
En González y Casado, somos especialistas en Ortodoncia desde edades tempranas hasta en casos complejos de adultos y ofrecemos soluciones personalizadas y mínimamente invasivas para cada caso.
Ortodoncia con alineadores transparentes
La ortodoncia transparente es uno de los tratamientos más eficaces para corregir la sobremordida. Además ofrece una una solución muy estética y cómoda para pacientes tanto infantiles como adultos.
Los alineadores transparentes diseñados a medida reposicionan los dientes de forma gradual y fisiológica, corrigiendo la mordida sin necesidad de brackets metálicos.
En los casos más severos la duración del tratamiento de ortodoncia invisible puede llevarnos 24 meses. En nuestra clínica contamos con ortodoncistas especializados en alineadores invisibles.
Ortodoncia fija (brackets)
Es otra opción de tratamiento. Puede combinarse con elásticos intermaxilares para mejorar la relación entre arcadas.
3. Tratamientos combinados con ortopedia (en niños y adolescentes)
Si el problema se detecta a tiempo, es posible corregir la sobremordida sin recurrir a tratamientos complejos.
Nuestros especialistas cuentan con amplia experiencia en detección precoz de las maloclusiones en la infancia y propondrán opciones de tratamiento mínimamente invasivas y altamente eficaces desde el primer diagnóstico en la infancia. No esperes a que el caso se complique y trae a tus hijos a revisión con ortodoncistas desde los 6 años.
Cirugía ortognática (en casos severos y esqueléticos)
Cuando hay un desequilibrio estructural importante entre el maxilar y la mandíbula, puede ser necesario un tratamiento ortodóncico combinado con cirugía para corregir la mordida.

¿Cuándo es el mejor momento para tratar una sobremordida?
Cuanto antes se detecte, mejor pronóstico tendrá el tratamiento. En la infancia, es posible interceptar el desarrollo con ortopedia funcional. En adultos, se puede corregir eficazmente con ortodoncia transparente, en casos severos puede requerir más tiempo o técnicas combinadas.
En González y Casado, somos expertos en ortodoncia y realizamos diagnósticos personalizados con tecnología digital avanzada, escaneado tridimensional intraoral y estudios ortodóncicos completos para valorar tu caso.
Planteamos planes de tratamiento individualizados desde la infancia hasta la edad adulta adecuados a las necesidades de cada paciente.
Preguntas frecuentes sobre la sobremordida
¿La sobremordida se puede corregir sin brackets?
Sí. La ortodoncia transparente es el sitema de ortodoncia más eficaz en corregir este tipo de maloclusión. Además resulta muy cómodo y estético para el paciente.
¿Cuánto tiempo dura el tratamiento de sobremordida?
Dependerá del grado de severidad. En general, puede ir desde 12 hasta 30 meses, aunque en niños puede acortarse si se actúa a tiempo.
¿Una sobremordida puede empeorar con el tiempo?
Sí. Si no se corrige, la sobremordida empeora y causa: desgaste dental, dolor articular, dificultad para masticar, heridas en los labios y las encías o problemas estéticos cada vez más notorios.
¿La sobremordida puede causar dolor en la mandíbula?
En algunos casos, sí. Una sobremordida descompensada puede alterar la posición de la articulación temporomandibular (ATM), ya que altera la manera de mover y deslizar la mandíbula para poder hablar o comer. Causa molestias o dolor delante del oído.
Tratar la sobremordida a tiempo mejora tu salud y tu sonrisa
La sobremordida no es solo una cuestión estética dental. Esta maloclusión dental tiene un impacto real en la salud oral, la función masticatoria, la protección de los dientes a largo plazo y la calidad de vida si no se corrige. Afortunadamente, existen tratamientos altamente eficaces en su tratamiento que se adecúan a cada edad y necesidad.
En González y Casado, somos especialistas en ortodoncia y contamos con más de 12 años tratando grandes y pequeñas maloclusiones con éxito. Ponemos a disposición de nuestros pacientes la mejor tecnología de vanguardia y sistemas tridimensionales de diagnóstico y planificación digital personalizada para ofrecerte soluciones a medida y mínimamente invasivas.
📞 ¿Sospechas que puedes tener sobremordida? ¿Tus dientes superiores cubren en exceso a los inferiores? No esperes a que sea demasiado tarde y ven a conocernos. Te informaremos de todas la opciones que tiene tu caso. Pide tu cita y te ayudamos a recuperar la funcionalidad y estética de tu sonrisa.





